技術規格
Background:
This gene encodes a magnesium-ion-dependent phosphatidic acid phosphohydrolase enzyme that catalyzes the penultimate step in triglyceride synthesis including the dephosphorylation of phosphatidic acid to yield diacylglycerol. Expression of this gene is required for adipocyte differentiation and it also functions as a nuclear transcriptional coactivator with some peroxisome proliferator-activated receptors to modulate expression of other genes involved in lipid metabolism. Mutations in this gene are associated with metabolic syndrome, type 2 diabetes, and autosomal recessive acute recurrent myoglobinuria (ARARM). This gene is also a candidate for several human lipodystrophy syndromes. Alternative splicing results in multiple transcript variants encoding distinct isoforms. Additional splice variants have been described but their full-length structures have not been determined.
Applications:
ELISA, IHC
Name of antibody:
LPIN1
Immunogen:
Synthetic peptide of human LPIN1
Full name:
lipin 1
Synonyms:
PAP1
SwissProt:
Q14693
ELISA Recommended dilution:
5000-10000
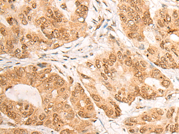
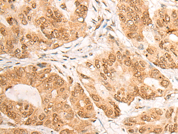
IHC positive control:
Human colorectal cancer;
IHC Recommend dilution:
20-100


購物車
幫助
021-54845833/15800441009
