中文名稱: 兔抗ADGRF1多克隆抗體
英文名稱: Anti-ADGRF1 rabbit polyclonal antibody
別 名: adhesion G protein-coupled receptor F1; PGR19; GPR110; KPG_012; hGPCR36
抗 原: ADGRF1
儲 存: 冷凍(-20℃)
宿 主: Rabbit
反應種屬: Human
相關類別: 一抗
標 記 物: Unconjugate
克隆類型: rabbit polyclonal
技術規格
|
Background: |
Orphan receptor. |
|
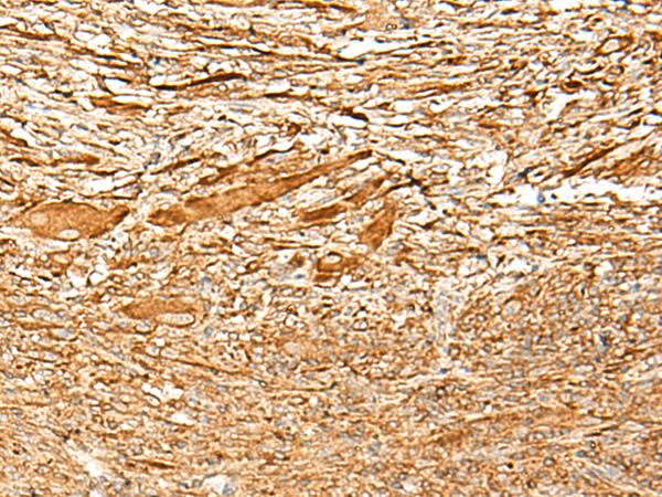
Applications: |
ELISA, IHC |
|
Name of antibody: |
ADGRF1 |
|
Immunogen: |
Synthetic peptide of human ADGRF1 |
|
Full name: |
adhesion G protein-coupled receptor F1 |
|
Synonyms: |
PGR19; GPR110; KPG_012; hGPCR36 |
|
SwissProt: |
Q5T601 |
|
ELISA Recommended dilution: |
5000-10000 |
|
IHC positive control: |
Human liver cancer |
|
IHC Recommend dilution: |
40-200 |
購物車
幫助
021-54845833/15800441009
