中文名稱: 兔抗AFDN多克隆抗體
|
Background: |
This gene encodes a multi-domain protein involved in signaling and organization of cell junctions during embryogenesis. It has also been identified as the fusion partner of acute lymphoblastic leukemia (ALL-1) gene, involved in acute myeloid leukemias with t(6;11)(q27;q23) translocation. Alternatively spliced transcript variants encoding different isoforms have been described for this gene, however, not all have been fully characterized. |
|
Applications: |
ELISA, IHC |
|
Name of antibody: |
AFDN |
|
Immunogen: |
Synthetic peptide of human AFDN |
|
Full name: |
afadin, adherens junction formation factor |
|
Synonyms: |
AF6; MLLT4; MLL-AF6; l-afadin |
|
SwissProt: |
P55196 |
|
ELISA Recommended dilution: |
2000-5000 |
|
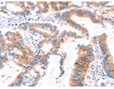
IHC positive control: |
Human colon cancer and Human thyroid cancer |
|
IHC Recommend dilution: |
25-100 |

購物車
幫助
021-54845833/15800441009
