中文名稱: 兔抗GCNT7多克隆抗體
反應種屬: Human
相關類別: 一抗
技術規格
|
Background: |
Glycosyltransferase By similarity. |
|
Applications: |
WB, IHC, IF |
|
Name of antibody: |
GCNT7 |
|
Immunogen: |
Synthesized peptide derived from internal of human GCNT7. |
|
Full name: |
glucosaminyl (N-acetyl) transferase family member 7 |
|
Synonyms: |
gcnt; C20orf105; dJ1153D9.2 |
|
SwissProt: |
Q6ZNI0 |
|
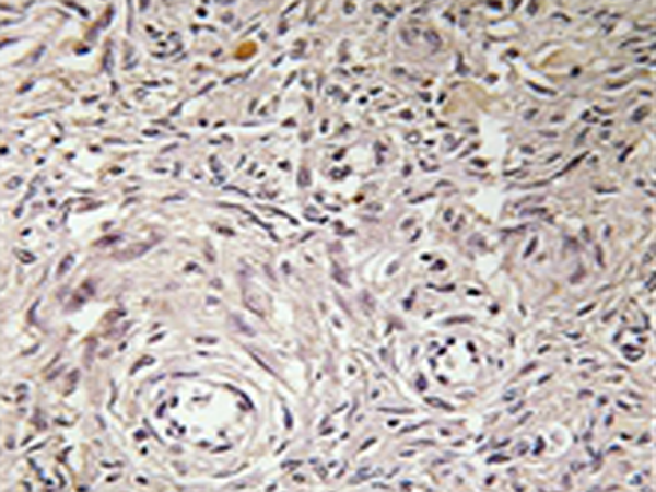
IHC positive control: |
Human ovary tissue |
|
IHC Recommend dilution: |
50-100 |
|
WB Predicted band size: |
49 kDa |
|
WB Positive control: |
K562 cells lysate |
|
WB Recommended dilution: |
500-3000 |
|
IF positive control: |
MCF-7 cells |
|
IF Recommend dilution: |
100-500 |



購物車
幫助
021-54845833/15800441009
