|
Background: |
Required for checkpoint mediated cell cycle arrest in response to DNA damage or the presence of unreplicated DNA. May also negatively regulate cell cycle progression during unperturbed cell cycles. Recognizes the substrate consensus sequence [R-X-X-S/T]. Binds to and phosphorylates CDC25A, CDC25B and CDC25C. Phosphorylation of CDC25A at 'Ser-178' and 'Thr-507' and phosphorylation of CDC25C at 'Ser-216' creates binding sites for 14-3-3 proteins which inhibit CDC25A and CDC25C. Phosphorylation of CDC25A at 'Ser-76', 'Ser-124', 'Ser-178', 'Ser-279' and 'Ser-293' promotes proteolysis of CDC25A. Inhibition of CDC25 activity leads to increased inhibitory tyrosine phosphorylation of CDK-cyclin complexes and blocks cell cycle progression. Binds to and phosphorylates RAD51 at 'Thr-309', which may enhance the association of RAD51 with chromatin and promote DNA repair by homologous recombination. Binds to and phosphorylates TLK1 at 'Ser-743', which prevents the TLK1-dependent phosphorylation of the chromatin assembly factor ASF1A. This may affect chromatin assembly during S phase or DNA repair. May also phosphorylate multiple sites within the C-terminus of TP53, which promotes activation of TP53 by acetylation and enhances suppression of cellular proliferation. |
|
Applications: |
WB |
|
Name of antibody: |
CHEK1 (Phospho-Ser280) |
|
Immunogen: |
Synthetic peptide of human CHEK1 (Phospho-Ser280) |
|
Full name: |
checkpoint kinase 1 (Phospho-Ser280) |
|
Synonyms: |
CHK1 |
|
SwissProt: |
O14757 |
|
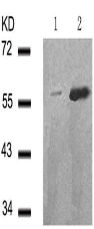
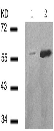
WB Predicted band size: |
54 kDa |
|
WB Positive control: |
HepG2 cells untreated or treated with UV |
|
WB Recommended dilution: |
500-1000 |
購物車
幫助
021-54845833/15800441009
