|
Background: |
CHMP5 belongs to the chromatin-modifying protein/charged multivesicular body protein (CHMP) family. These proteins are components of ESCRT-III (endosomal sorting complex required for transport III), a complex involved in degradation of surface receptor proteins and formation of endocytic multivesicular bodies (MVBs). Some CHMPs have both nuclear and cytoplasmic/vesicular distributions, and one such CHMP, CHMP1A (MIM 164010), is required for both MVB formation and regulation of cell cycle progression (Tsang et al., 2006 [PubMed 16730941]). |
|
Applications: |
ELISA, IHC |
|
Name of antibody: |
CHMP5 |
|
Immunogen: |
Full length fusion protein |
|
Full name: |
charged multivesicular body protein 5 |
|
Synonyms: |
Vps60; CGI-34; PNAS-2; C9orf83; HSPC177; SNF7DC2 |
|
SwissProt: |
Q9NZZ3 |
|
ELISA Recommended dilution: |
5000-10000 |
|
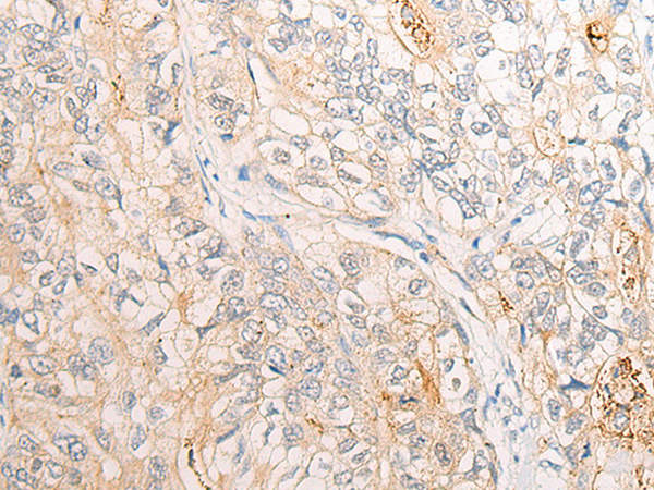
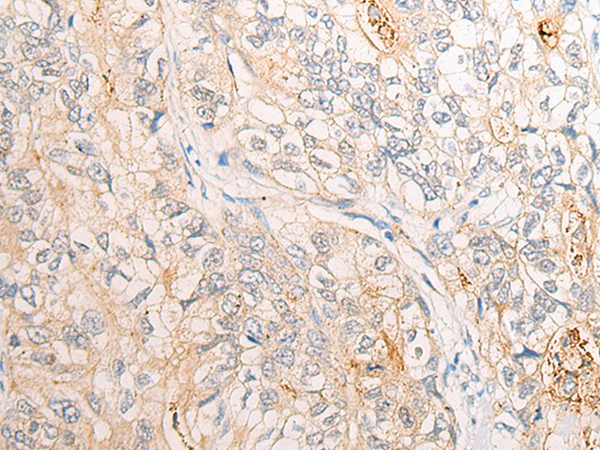
IHC positive control: |
Human gastric cancer |
|
IHC Recommend dilution: |
10-50 |
購物車
幫助
021-54845833/15800441009
