中文名稱: 兔抗AGR2多克隆抗體
|
Background: |
Anterior gradient protein 2 homolog (AGR2) is a human protein originally discovered in Xenopus laevis, encoded for by the gene of the same name.In Xenopus AGR2 is an important role in cement gland differentiation, however in human cancer cell lines high levels of AGR2 correlate with reduction of the p53 response and AGR2 levels are elevated in the preneoplastic tissue Barrett's oesophagus. |
|
Applications: |
ELISA, WB, IHC |
|
Name of antibody: |
AGR2 |
|
Immunogen: |
Fusion protein of human AGR2 |
|
Full name: |
Anterior gradient protein 2 homolog |
|
Synonyms: |
AG2, GOB-4, HAG-2, XAG-2, PDIA17 |
|
SwissProt: |
O95994 |
|
ELISA Recommended dilution: |
1000-10000 |
|
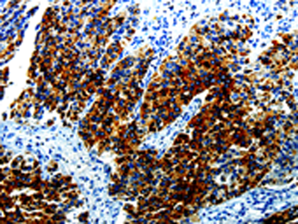
IHC positive control: |
Human renal cancer |
|
IHC Recommend dilution: |
10-50 |
|
WB Predicted band size: |
20 kDa |
|
WB Positive control: |
Mouse Large intestine tissue |
|
WB Recommended dilution: |
1000-5000 |


購物車
幫助
021-54845833/15800441009
