|
Background: |
This gene is ubiquitously expressed and is involved in the transcriptional coactivation of many different transcription factors. First isolated as a nuclear protein that binds to cAMP-response element binding protein (CREB), this gene is now known to play critical roles in embryonic development, growth control, and homeostasis by coupling chromatin remodeling to transcription factor recognition. The protein encoded by this gene has intrinsic histone acetyltransferase activity and also acts as a scaffold to stabilize additional protein interactions with the transcription complex. This protein acetylates both histone and non-histone proteins. This protein shares regions of very high sequence similarity with protein p300 in its bromodomain, cysteine-histidine-rich regions, and histone acetyltransferase domain. Mutations in this gene cause Rubinstein-Taybi syndrome (RTS). Chromosomal translocations involving this gene have been associated with acute myeloid leukemia. Alternative splicing results in multiple transcript variants encoding different isoforms. |
|
Applications: |
ELISA, IHC |
|
Name of antibody: |
CREBBP |
|
Immunogen: |
Synthetic peptide of human CREBBP |
|
Full name: |
CREB binding protein |
|
Synonyms: |
CBP; RSTS; KAT3A; RSTS1 |
|
SwissProt: |
Q92793 |
|
ELISA Recommended dilution: |
5000-10000 |
|
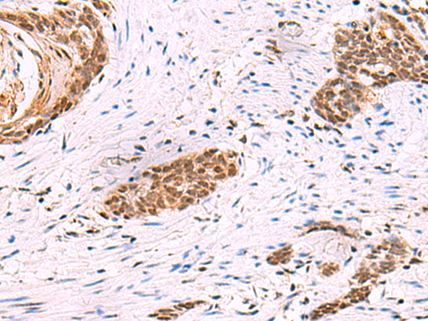
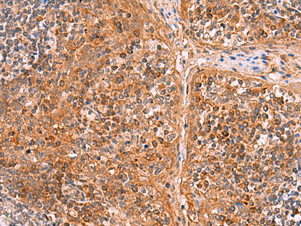
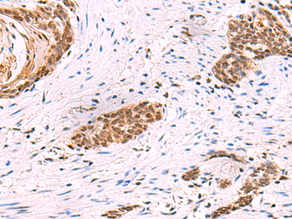
IHC positive control: |
Human esophagus cancer and Human tonsil |
|
IHC Recommend dilution: |
30-150 |

購物車
幫助
021-54845833/15800441009
