中文名稱: 兔抗GLB1L3多克隆抗體
英文名稱: Anti-GLB1L3 rabbit polyclonal antibody
抗 原: GLB1L3
儲 存: 冷凍(-20℃) 避光
宿 主: Rabbit
反應種屬: Human
相關類別: 一抗
標 記 物: Unconjugate
克隆類型: Unconjugate
技術規格
|
Background: |
Belongs to the glycosyl hydrolase 35 family. |
|
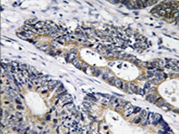
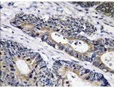
Applications: |
IHC |
|
Name of antibody: |
GLB1L3 |
|
Immunogen: |
Synthesized peptide derived from internal of human GLB1L3. |
|
Full name: |
galactosidase, beta 1-like 3 |
|
Synonyms: |
0 |
|
SwissProt: |
Q8NCI6 |
|
IHC positive control: |
Human colon carcinoma tissue |
|
IHC Recommend dilution: |
50-100 |

購物車
幫助
021-54845833/15800441009
