中文名稱: 兔抗GLB1多克隆抗體
|
Background: |
This gene encodes a member of the glycosyl hydrolase 35 family of proteins. Alternative splicing results in multiple transcript variants, at least one of which encodes a preproprotein that is proteolytically processed to generate the mature lysosomal enzyme. This enzyme catalyzes the hydrolysis of a terminal beta-linked galactose residue from ganglioside substrates and other glycoconjugates. Mutations in this gene may result in GM1-gangliosidosis and Morquio B syndrome. |
|
Applications: |
ELISA, IHC |
|
Name of antibody: |
GLB1 |
|
Immunogen: |
Fusion protein of human GLB1 |
|
Full name: |
galactosidase beta 1 |
|
Synonyms: |
EBP; ELNR1; MPS4B |
|
SwissProt: |
P16278 |
|
ELISA Recommended dilution: |
5000-10000 |
|
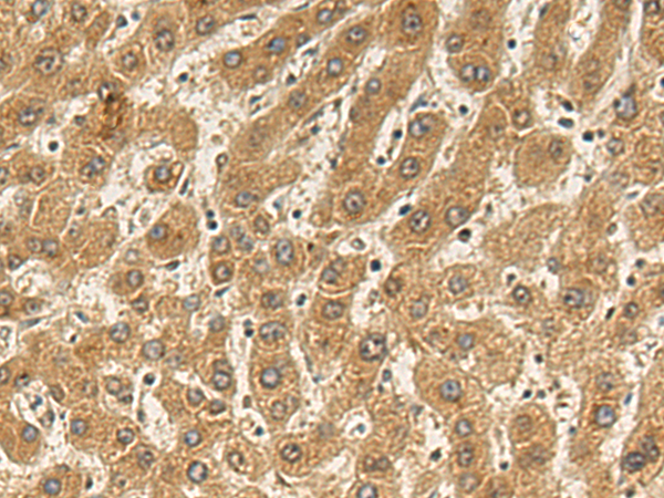
IHC positive control: |
Human liver cancer and Human tonsil |
|
IHC Recommend dilution: |
250-500 |
|
Background: |
This gene encodes a member of the glycosyl hydrolase 35 family of proteins. Alternative splicing results in multiple transcript variants, at least one of which encodes a preproprotein that is proteolytically processed to generate the mature lysosomal enzyme. This enzyme catalyzes the hydrolysis of a terminal beta-linked galactose residue from ganglioside substrates and other glycoconjugates. Mutations in this gene may result in GM1-gangliosidosis and Morquio B syndrome. |
|
Applications: |
ELISA, IHC |
|
Name of antibody: |
GLB1 |
|
Immunogen: |
Fusion protein of human GLB1 |
|
Full name: |
galactosidase beta 1 |
|
Synonyms: |
EBP; ELNR1; MPS4B |
|
SwissProt: |
P16278 |
|
ELISA Recommended dilution: |
5000-10000 |
|
IHC positive control: |
Human liver cancer and Human tonsil |
|
IHC Recommend dilution: |
250-500 |


購物車
幫助
021-54845833/15800441009
