|
Background: |
Component of the CYFIP1-EIF4E-FMR1 complex which binds to the mRNA cap and mediates translational repression. In the CYFIP1-EIF4E-FMR1 complex this subunit is an adapter between EIF4E and FMR1. Promotes the translation repression activity of FMR1 in brain probably by mediating its association with EIF4E and mRNA (By similarity). Regulates formation of membrane ruffles and lamellipodia. Plays a role in axon outgrowth. Binds to F-actin but not to RNA. Part of the WAVE complex that regulates actin filament reorganization via its interaction with the Arp2/3 complex. Actin remodeling activity is regulated by RAC1. Regulator of epithelial morphogenesis. May act as an invasion suppressor in cancers. |
|
Applications: |
ELISA, IHC |
|
Name of antibody: |
CYFIP1 |
|
Immunogen: |
Fusion protein of human CYFIP1 |
|
Full name: |
cytoplasmic FMR1 interacting protein 1 |
|
Synonyms: |
SHYC; SRA1; SRA-1; P140SRA-1 |
|
SwissProt: |
Q7L576 |
|
ELISA Recommended dilution: |
5000-10000 |
|
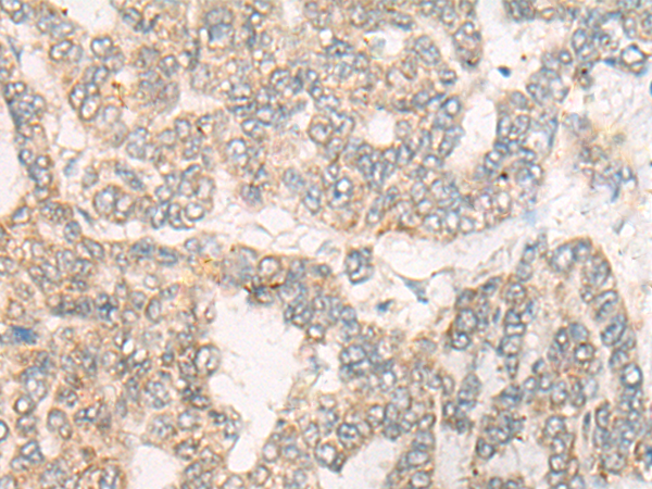
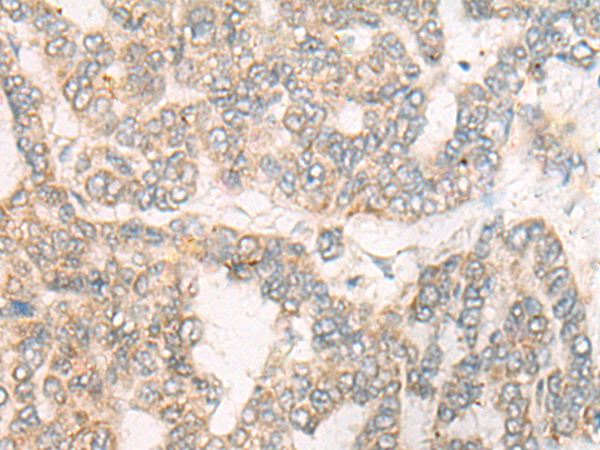
IHC positive control: |
Human thyroid cancer and Human esophagus cancer |
|
IHC Recommend dilution: |
25-100 |

購物車
幫助
021-54845833/15800441009
