|
Background: |
The exact function of this gene is not known. It encodes a protein with a DALR anticodon binding domain similar to that of class Ia aminoacyl tRNA synthetases. This gene is located in a cluster of genes (with a complex sense-anti-sense genome architecture) on chromosome 3, and contains two micro RNA (miRNA) precursors (mir-425 and mir-191) in one of its introns. Preferential expression of this gene (the miRNAs and other genes in the cluster) in testis suggests a role of this gene in spermatogenesis (PMID:19906709). |
|
Applications: |
ELISA, WB, IHC |
|
Name of antibody: |
DALRD3 |
|
Immunogen: |
Fusion protein of human DALRD3 |
|
Full name: |
DALR anticodon binding domain containing 3 |
|
SwissProt: |
Q5D0E6 |
|
ELISA Recommended dilution: |
5000-10000 |
|
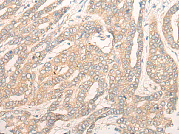
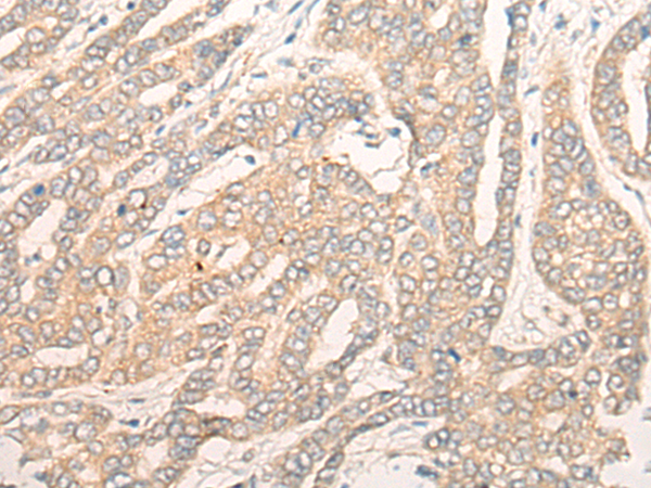
IHC positive control: |
Human liver cancer |
|
IHC Recommend dilution: |
25-100 |
|
WB Predicted band size: |
59 kDa |
|
WB Positive control: |
HepG2 cell lysate |
|
WB Recommended dilution: |
500-2000 |

購物車
幫助
021-54845833/15800441009
