中文名稱: 兔抗MAGEB5多克隆抗體
英文名稱: Anti-MAGEB5 rabbit polyclonal antibody
別 名: CT3.3; MAGE-B5
相關類別:一抗
儲 存: 冷凍(-20℃)
宿 主: Rabbit
抗 原: MAGEB5
反應種屬: Human
標 記 物: Unconjugate
克隆類型: rabbit polyclonal
技術規格
Background:
The melanoma-associated antigen (MAGE) family consists of a number of antigens recognized by cytotoxic T lymphocytes. The MAGE genes were initially isolated from different kinds of tumors and, based on their virtually exclusive tumor-specific expression in adult tissues, they have been used as targets for cancer immunotherapy. MAGE genes encode for tumor-rejection antigens that are expressed in tumors of different histologic types and in normal testis and placenta. MAGE-B5 (melanoma-associated antigen B5), also known as CT3.3 (cancer/testis antigen 3.3), is a 275 amino acid protein that contains one MAGE domain and is expressed in testis. The gene encoding MAGE-B5 maps to human chromosome X, which consists of about 153 million base pairs and nearly 1,000 genes. Color blindness, hemophilia and Duchenne muscular dystrophy are well known X chromosome-linked conditions which affect males more frequently, as males carry a single X chromosome.
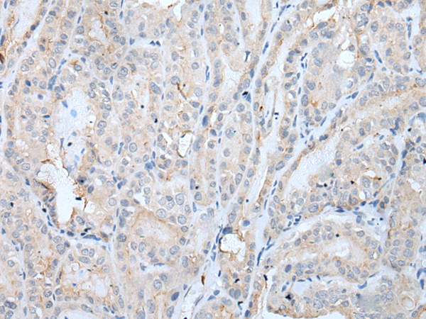
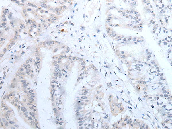
Applications:
ELISA, IHC
Name of antibody:
MAGEB5
Immunogen:
Synthetic peptide of human MAGEB5
Full name:
MAGE family member B5
Synonyms:
CT3.3; MAGE-B5
SwissProt:
Q9BZ81
ELISA Recommended dilution:
5000-10000
IHC positive control:
Human thyroid cancer and human liver cancer
IHC Recommend dilution:
20-100


購物車
幫助
021-54845833/15800441009
