中文名稱: 兔抗MEDAG多克隆抗體
英文名稱: Anti-MEDAG rabbit polyclonal antibody
別 名: AWMS3; MEDA4; MEDA-4; hAWMS3; C13orf33
相關類別: 一抗
儲 存: 冷凍(-20℃)
宿 主: Rabbit
抗 原: MEDAG
反應種屬: Human, Mouse
標 記 物: Unconjugate
克隆類型: rabbit polyclonal
技術規格
|
Background: |
Involved in processes that promote adipocyte differentiation, lipid accumulation, and glucose uptake in mature adipocytes. |
|
Applications: |
ELISA, WB, IHC |
|
Name of antibody: |
MEDAG |
|
Immunogen: |
Synthetic peptide of human MEDAG |
|
Full name: |
mesenteric estrogen-dependent adipogenesis |
|
Synonyms: |
AWMS3; MEDA4; MEDA-4; hAWMS3; C13orf33 |
|
SwissProt: |
Q5VYS4 |
|
ELISA Recommended dilution: |
5000-10000 |
|
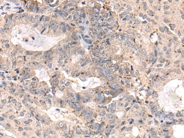
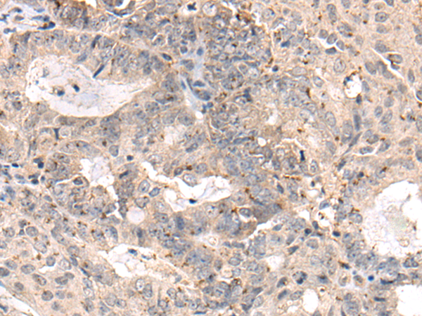
IHC positive control: |
Human ovarian cancer |
|
IHC Recommend dilution: |
50-300 |
|
WB Predicted band size: |
34 kDa |
|
WB Positive control: |
Mouse heart tissue lysate |
|
WB Recommended dilution: |
500-2000 |


購物車
幫助
021-54845833/15800441009
