中文名稱: 兔抗GSTZ1多克隆抗體
英文名稱: Anti-GSTZ1 rabbit polyclonal antibody
別 名: glutathione S-transferase zeta 1; MAI; MAAI; MAAID; GSTZ1-1
相關類別: 一抗
儲 存: 冷凍(-20℃)
宿 主: Rabbit
抗 原: GSTZ1
反應種屬: Human, Mouse, Rat
標 記 物: Unconjugate
克隆類型: rabbit polyclonal
Background:
This gene is a member of the glutathione S-transferase (GSTs) super-family which encodes multifunctional enzymes important in the detoxification of electrophilic molecules, including carcinogens, mutagens, and several therapeutic drugs, by conjugation with glutathione. This enzyme catalyzes the conversion of maleylacetoacetate to fumarylacetoacatate, which is one of the steps in the phenylalanine/tyrosine degradation pathway. Deficiency of a similar gene in mouse causes oxidative stress. Several transcript variants of this gene encode multiple protein isoforms.
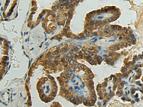
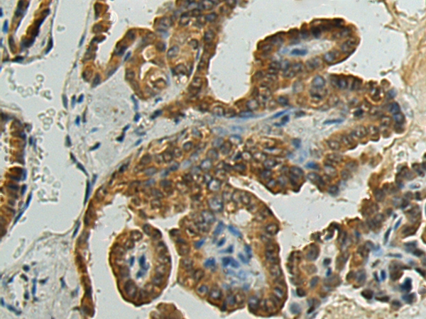
Applications:
ELISA, WB, IHC
Name of antibody:
GSTZ1
Immunogen:
Fusion protein of human GSTZ1
Full name:
glutathione S-transferase zeta 1
Synonyms:
MAI; MAAI; MAAID; GSTZ1-1
SwissProt:
O43708
ELISA Recommended dilution:
5000-10000
IHC positive control:
Human thyroid cancer and Human cervical cancer
IHC Recommend dilution:
100-300
WB Predicted band size:
24 kDa
WB Positive control:
Mouse liver tissue and HepG2 cell lysates
WB Recommended dilution:
1000-5000
技術規格



購物車
幫助
021-54845833/15800441009
