別 名: eukaryotic translation initiation factor 2 subunit gamma; EIF2; EIF2G; MRXSBRK; eIF-2gA; EIF2gamma
相關類別:一抗
|
Background: |
The protein encoded by this gene is the largest subunit of a heterotrimeric GTP-binding protein involved in the recruitment of methionyl-tRNA(i) to the 40 S ribosomal subunit. |
|
Applications: |
ELISA, IHC |
|
Name of antibody: |
EIF2S3 |
|
Immunogen: |
Fusion protein of human EIF2S3 |
|
Full name: |
eukaryotic translation initiation factor 2 subunit gamma |
|
Synonyms: |
EIF2; EIF2G; MRXSBRK; eIF-2gA; EIF2gamma |
|
SwissProt: |
P41091 |
|
ELISA Recommended dilution: |
5000-10000 |
|
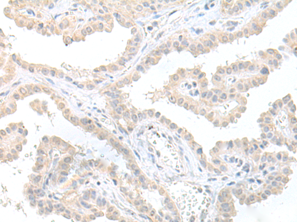
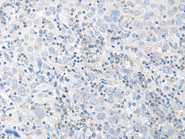
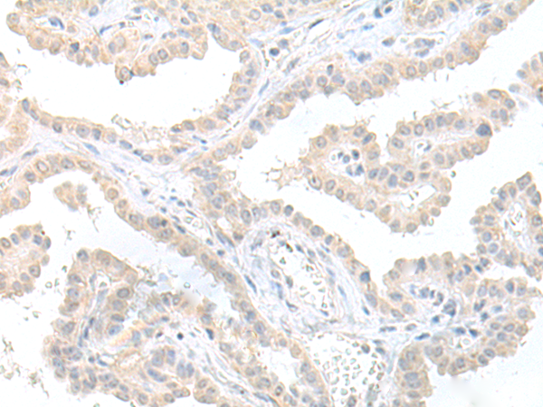
IHC positive control: |
Human cervical cancer and Human thyroid cancer |
|
IHC Recommend dilution: |
25-100 |

購物車
幫助
021-54845833/15800441009
