中文名稱: 兔抗MRPL13多克隆抗體
英文名稱: Anti-MRPL13 rabbit polyclonal antibody
別 名: L13; L13A; L13mt; RPL13; RPML13
抗 原: MRPL13
儲 存: 冷凍(-20℃) 避光
宿 主: Rabbit
反應種屬: Human
相關類別: 一抗
標 記 物: Unconjugate
克隆類型: rabbit polyclonal
技術規格
|
Background: |
Mammalian mitochondrial ribosomal proteins are encoded by nuclear genes and help in protein synthesis within the mitochondrion. Mitochondrial ribosomes (mitoribosomes) consist of a small 28S subunit and a large 39S subunit. They have an estimated 75% protein to rRNA composition compared to prokaryotic ribosomes, where this ratio is reversed. Another difference between mammalian mitoribosomes and prokaryotic ribosomes is that the latter contain a 5S rRNA. Among different species, the proteins comprising the mitoribosome differ greatly in sequence, and sometimes in biochemical properties, which prevents easy recognition by sequence homology. This gene encodes a 39S subunit protein. |
|
Applications: |
WB, IHC |
|
Name of antibody: |
MRPL13 |
|
Immunogen: |
Synthesized peptide derived from C-terminal of human MRPL13. |
|
Full name: |
mitochondrial ribosomal protein L13 |
|
Synonyms: |
L13; L13A; L13mt; RPL13; RPML13 |
|
SwissProt: |
Q9BYD1 |
|
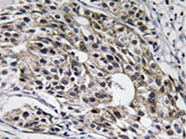
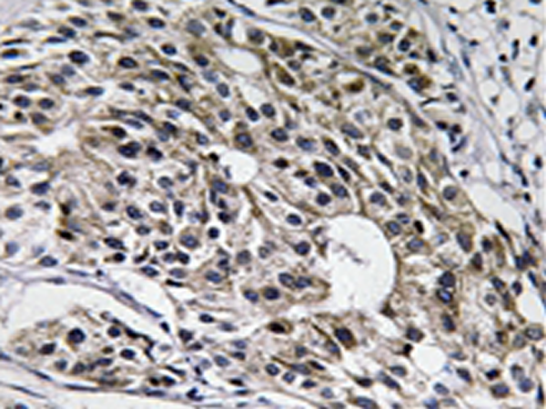
IHC positive control: |
Human breast carcinoma tissue |
|
IHC Recommend dilution: |
50-100 |
|
WB Predicted band size: |
21 kDa |
|
WB Positive control: |
A549 cells lysate |
|
WB Recommended dilution: |
500-3000 |


購物車
幫助
021-54845833/15800441009
