中文名稱: 兔抗MRPL48多克隆抗體
英文名稱: Anti-MRPL48 rabbit polyclonal antibody
別 名: mitochondrial ribosomal protein L48; L48MT; CGI-118; HSPC290; MRP-L48
相關類別: 一抗
儲 存: 冷凍(-20℃)
宿 主: Rabbit
抗 原: MRPL48
反應種屬: Human, Mouse
標 記 物: Unconjugate
克隆類型: rabbit polyclonal
技術規格
|
Background: |
Mammalian mitochondrial ribosomal proteins are encoded by nuclear genes and help in protein synthesis within the mitochondrion. Mitochondrial ribosomes (mitoribosomes) consist of a small 28S subunit and a large 39S subunit. They have an estimated 75% protein to rRNA composition compared to prokaryotic ribosomes, where this ratio is reversed. Another difference between mammalian mitoribosomes and prokaryotic ribosomes is that the latter contain a 5S rRNA. Among different species, the proteins comprising the mitoribosome differ greatly in sequence, and sometimes in biochemical properties, which prevents easy recognition by sequence homology. This gene encodes a 39S subunit protein. A pseudogene corresponding to this gene is found on chromosome 6p. Several transcript variants, some protein-coding and some non-protein coding, have been found for this gene. |
|
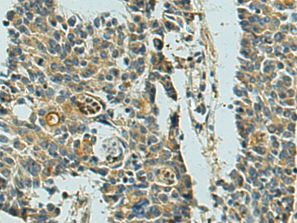
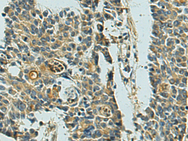
Applications: |
ELISA, IHC |
|
Name of antibody: |
MRPL48 |
|
Immunogen: |
Fusion protein of human MRPL48 |
|
Full name: |
mitochondrial ribosomal protein L48 |
|
Synonyms: |
L48MT; CGI-118; HSPC290; MRP-L48 |
|
SwissProt: |
Q96GC5 |
|
ELISA Recommended dilution: |
5000-10000 |
|
IHC positive control: |
Human colorectal cancer and Human gastric cancer |
|
IHC Recommend dilution: |
150-300 |


購物車
幫助
021-54845833/15800441009
