中文名稱: 兔抗PXN (Phospho-Tyr118)多克隆抗體
英文名稱: Anti-PXN (Phospho-Tyr118) rabbit polyclonal antibody
相關類別: 一抗
儲 存: 冷凍(-20℃) 避光
宿 主: Rabbit
抗 原: PXN (Phospho-Tyr118)
反應種屬: Human, Mouse, Rat
標 記 物: Unconjugate
克隆類型: rabbit polyclonal
Background:
This gene encodes a cytoskeletal protein involved in actin-membrane attachment at sites of cell adhesion to the extracellular matrix (focal adhesion). Alternatively spliced transcript variants encoding different isoforms have been described for this gene. These isoforms exhibit different expression pattern, and have different biochemical, as well as physiological properties.
Applications:
WB, IHC
Name of antibody:
PXN (Phospho-Tyr118)
Immunogen:
Synthetic peptide of human PXN (Phospho-Tyr118)
Full name:
paxillin (Phospho-Tyr118)
SwissProt:
P49023
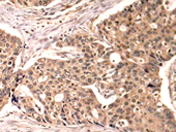
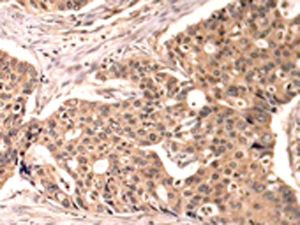
IHC positive control:
Human breast carcinoma
IHC Recommend dilution:
50-100
WB Predicted band size:
65 kDa
WB Positive control:
NIH/3T3 cells untreated or treated with serum
WB Recommended dilution:
500-1000
技術規格


購物車
幫助
021-54845833/15800441009
