中文名稱: 兔抗UBE4B多克隆抗體
|
Background: |
The modification of proteins with ubiquitin is an important cellular mechanism for targeting abnormal or short-lived proteins for degradation. Ubiquitination involves at least three classes of enzymes: ubiquitin-activating enzymes, or E1s, ubiquitin-conjugating enzymes, or E2s, and ubiquitin-protein ligases, or E3s. This gene encodes an additional conjugation factor, E4, which is involved in multiubiquitin chain assembly. This gene is also the strongest candidate in the neuroblastoma tumor suppressor genes. Alternatively spliced transcript variants encoding distinct isoforms have been found for this gene. |
|
Applications: |
ELISA, IHC |
|
Name of antibody: |
UBE4B |
|
Immunogen: |
Synthetic peptide of human UBE4B |
|
Full name: |
ubiquitination factor E4B |
|
Synonyms: |
E4; UFD2; HDNB1; UBOX3; UFD2A |
|
SwissProt: |
O95155 |
|
ELISA Recommended dilution: |
5000-10000 |
|
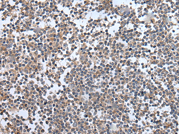
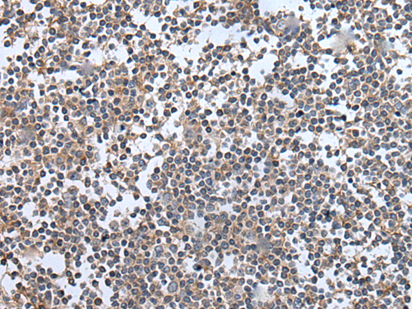
IHC positive control: |
Human tonsil |
|
IHC Recommend dilution: |
25-100 |
購(gòu)物車
幫助
021-54845833/15800441009
