中文名稱: 兔抗RCOR2多克隆抗體
英文名稱: Anti-RCOR2 rabbit polyclonal antibody
別 名: REST corepressor 2;
相關類別: 一抗
抗 原: RCOR2
儲 存: 冷凍(-20℃)
宿 主: Rabbit
反應種屬: Human, Mouse, Rat
標 記 物: Unconjugate
克隆類型: rabbit polyclonal
技術規格
| 
					 Background:  | 
				
					 May act as a component of a corepressor complex that represses transcription.  | 
			
| 
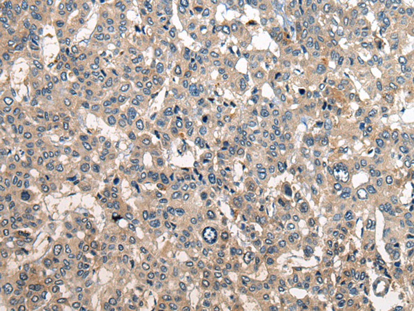
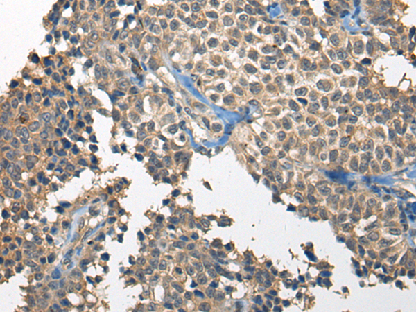
					 Applications:  | 
				
					 ELISA, IHC  | 
			
| 
					 Name of antibody:  | 
				
					 RCOR2  | 
			
| 
					 Immunogen:  | 
				
					 Synthetic peptide of human RCOR2  | 
			
| 
					 Full name:  | 
				
					 REST corepressor 2  | 
			
| 
					 SwissProt:  | 
				
					 Q8IZ40  | 
			
| 
					 ELISA Recommended dilution:  | 
				
					 5000-10000  | 
			
| 
					 IHC positive control:  | 
				
					 Human liver cancer  | 
			
| 
					 IHC Recommend dilution:  | 
				
					 25-100  | 
			

	
	
 
	
購物車
幫助
021-54845833/15800441009
              