|
Background: |
ETS translocation variant 2 (ETV2), also known as ETSRP and ER71, is a 37 kDa transcription factor that is expressed in presumptive vascular progenitor cells. It plays an important role in vascular development by promoting the expansion of hemangioblasts and vascular endothelial cells while inhibiting differentiation into cardiomyocytes. It contains one ETS DNA binding domain (aa 234-314). Within aa 125-231, mouse ETV2 shares 54% and 85% aa sequence identity with human and rat ETV2, respectively. |
|
Applications: |
ELISA, IHC |
|
Name of antibody: |
ETV2 |
|
Immunogen: |
Synthetic peptide of human ETV2 |
|
Full name: |
ETS variant 2 |
|
Synonyms: |
ER71; ETSRP71 |
|
SwissProt: |
O00321 |
|
ELISA Recommended dilution: |
5000-10000 |
|
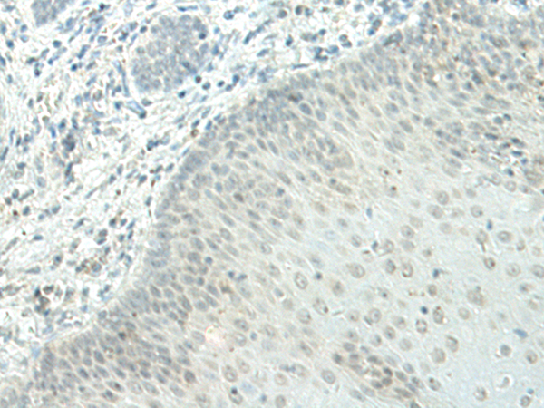
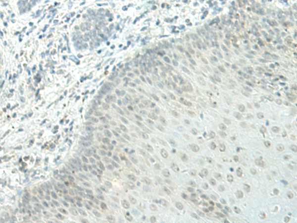
IHC positive control: |
Human esophagus cancer |
|
IHC Recommend dilution: |
10-50 |
購物車
幫助
021-54845833/15800441009
