中文名稱 : 兔抗MUC7多克隆抗體
英文名稱 : Anti-MUC7 rabbit polyclonal antibody
別 名 : MG2
抗 原 : MUC7
儲 存 : 冷凍(-20℃)
宿 主 : Rabbit
反應種屬 : Human
相關類別 : 一抗
標 記 物 : Unconjugate
克隆類型 : rabbit polyclonal
技術規格
|
Background: |
This gene encodes a small salivary mucin, which is thought to play a role in facilitating the clearance of bacteria in the oral cavity and to aid in mastication, speech, and swallowing. The central domain of this glycoprotein contains tandem repeats, each composed of 23 amino acids. This antimicrobial protein has antibacterial and antifungal activity. The most common allele contains 6 repeats, and some alleles may be associated with susceptibility to asthma. Alternatively spliced transcript variants with different 5' UTR, but encoding the same protein, have been found for this gene. |
|
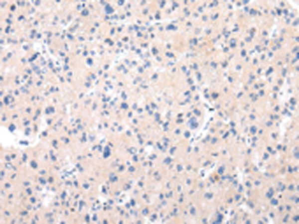
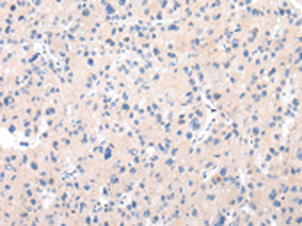
Applications: |
ELISA, IHC |
|
Name of antibody: |
MUC7 |
|
Immunogen: |
Synthetic peptide of human MUC7 |
|
Full name: |
mucin 7, secreted |
|
Synonyms: |
MG2 |
|
SwissProt: |
Q8TAX7 |
|
ELISA Recommended dilution: |
2000-5000 |
|
IHC positive control: |
Human liver cancer and Human esophagus cancer |
|
IHC Recommend dilution: |
20-100 |

購物車
幫助
021-54845833/15800441009
