中文名稱: 兔抗RFLNA多克隆抗體
英文名稱: Anti-RFLNA rabbit polyclonal antibody
別 名: refilin A; CFM2; FAM101A
相關類別: 一抗
儲 存: 冷凍(-20℃)
抗 原: RFLNA
宿 主: Rabbit
反應種屬: Human
標 記 物: Unconjugate
克隆類型: rabbit polyclonal
技術規格
|
Background: |
Involved in the regulation of the perinuclear actin network and nuclear shape through interaction with filamins. Plays an essential role in actin cytoskeleton formation in developing cartilaginous cells. |
|
Applications: |
ELISA, IHC |
|
Name of antibody: |
RFLNA |
|
Immunogen: |
Fusion protein of human RFLNA |
|
Full name: |
refilin A |
|
Synonyms: |
CFM2; FAM101A |
|
SwissProt: |
Q6ZTI6 |
|
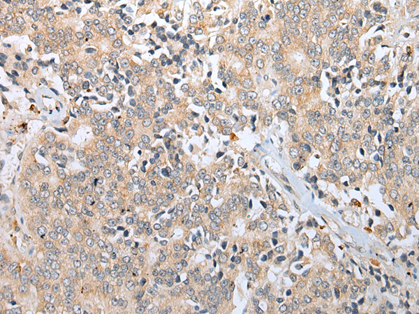
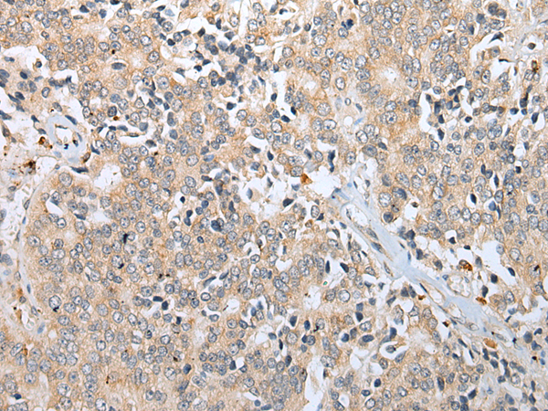
IHC positive control: |
Human prostate cancer and Human esophagus cancer |
|
IHC Recommend dilution: |
25-100 |

購物車
幫助
021-54845833/15800441009
