|
Background: |
FAM234A, also known as ITFG3, which is a 552 amino acid single-pass transmembrane protein that contains FG-GAP repeats, a motif commonly found in Integrin proteins. There are two isoforms of ITFG3 that are produced as a result of alternative splicing events. |
|
Applications: |
ELISA, WB, IHC |
|
Name of antibody: |
FAM234A |
|
Immunogen: |
Synthetic peptide of human FAM234A |
|
Full name: |
family with sequence similarity 234 member A |
|
Synonyms: |
gs19; ITFG3; C16orf9 |
|
SwissProt: |
Q9H0X4 |
|
ELISA Recommended dilution: |
5000-10000 |
|
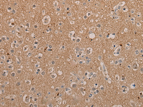
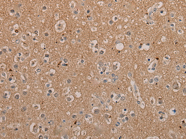
IHC positive control: |
Human brain |
|
IHC Recommend dilution: |
20-100 |
|
WB Predicted band size: |
60 kDa |
|
WB Positive control: |
Rat brain tissue lysate |
|
WB Recommended dilution: |
200-1000 |


購物車
幫助
021-54845833/15800441009
