|
Background: |
Fibrillarin is a 2'-O-methyltransferase located in fibrillar regions and Cajal bodies of the nucleolus, where RNA transcription and pre-RNA processing take place. Fibrillarin associates with several other structual proteins as well as box C/D snoRNA to form a complex that functions in pre-rRNA processing, pre-rRNA methylation and ribosome assembly. This complex catalyzes site-specific 2'-O-ribose methylation of targeted nucleotides within the rRNA sequence. The sequence, structure and function of fibrillarin are highly conserved and fibrillarin gene expression is essential for early embryonic development. |
|
Applications: |
WB |
|
Name of antibody: |
FBL |
|
Immunogen: |
Fusion protein of human FBL |
|
Full name: |
fibrillarin |
|
Synonyms: |
FBL; FIB; FLRN; RNU3IP1 |
|
SwissProt: |
P22087 |
|
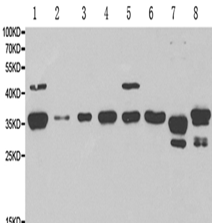
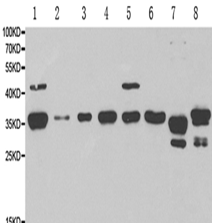
WB Predicted band size: |
34 kDa |
|
WB Positive control: |
Hela, A375, U20S, COS1, COS7 and PC12 cells, brain and testis tissue |
|
WB Recommended dilution: |
500-2000 |

購物車
幫助
021-54845833/15800441009
