|
Background: |
Metabolic N-oxidation of the diet-derived amino-trimethylamine (TMA) is mediated by flavin-containing monooxygenase and is subject to an inherited FMO3 polymorphism in man resulting in a small subpopulation with reduced TMA N-oxidation capacity resulting in fish odor syndrome Trimethylaminuria. Three forms of the enzyme, FMO1 found in fetal liver, FMO2 found in adult liver, and FMO3 are encoded by genes clustered in the 1q23-q25 region. |
|
Applications: |
ELISA, WB, IHC |
|
Name of antibody: |
FMO5 |
|
Immunogen: |
Fusion protein of human FMO5 |
|
Full name: |
flavin containing monooxygenase 5 |
|
SwissProt: |
P49326 |
|
ELISA Recommended dilution: |
5000-10000 |
|
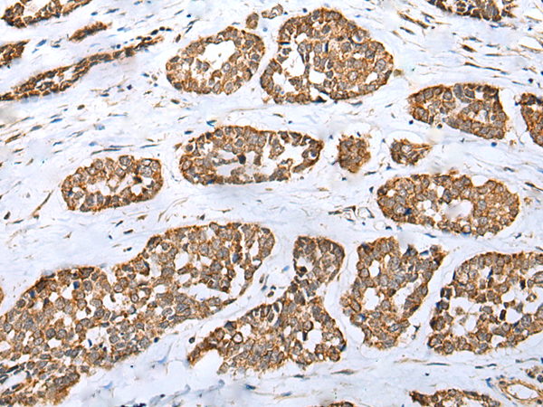
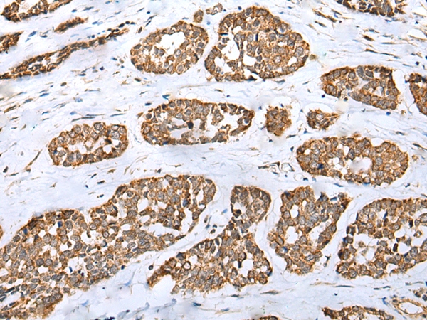
IHC positive control: |
Human esophagus cancer |
|
IHC Recommend dilution: |
25-100 |
|
WB Predicted band size: |
60 kDa |
|
WB Positive control: |
Human fetal liver and mouse lung tissue |
|
WB Recommended dilution: |
200-1000 |


購物車
幫助
021-54845833/15800441009
