中文名稱 : 兔抗MYOZ2多克隆抗體
英文名稱 : Anti-MYOZ2 rabbit polyclonal antibody
別 名 : CS-1; CMH16; C4orf5
相關類別 : 一抗
儲 存 : 冷凍(-20℃)
宿 主 : Rabbit
抗 原 : MYOZ2
反應種屬 : Human, Mouse
標 記 物 : Unconjugate
克隆類型 : rabbit polyclonal
技術規格
|
Background: |
The protein encoded by this gene belongs to a family of sarcomeric proteins that bind to calcineurin, a phosphatase involved in calcium-dependent signal transduction in diverse cell types. These family members tether calcineurin to alpha-actinin at the z-line of the sarcomere of cardiac and skeletal muscle cells, and thus they are important for calcineurin signaling. Mutations in this gene cause cardiomyopathy familial hypertrophic type 16, a hereditary heart disorder. |
|
Applications: |
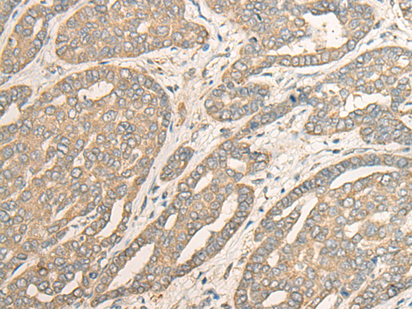
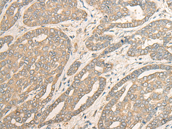
ELISA, IHC |
|
Name of antibody: |
MYOZ2 |
|
Immunogen: |
Full length fusion protein |
|
Full name: |
myozenin 2 |
|
Synonyms: |
CS-1; CMH16; C4orf5 |
|
SwissProt: |
Q9NPC6 |
|
ELISA Recommended dilution: |
5000-10000 |
|
IHC positive control: |
Human liver cancer; |
|
IHC Recommend dilution: |
40-200 |

購物車
幫助
021-54845833/15800441009
