中文名稱:兔抗RPL18多克隆抗體
英文名稱: Anti-RPL18 rabbit polyclonal antibody
別 名: ribosomal protein L18; L18
抗 原: RPL18
儲 存: 冷凍(-20℃)
宿 主: Rabbit
反應種屬: Human, Mouse, Rat
相關類別: 一抗
標記物: Unconjugate
克隆類型: rabbit polyclonal
技術規格
|
Background: |
Ribosomes, the organelles that catalyze protein synthesis, consist of a small 40S subunit and a large 60S subunit. Together these subunits are composed of 4 RNA species and approximately 80 structurally distinct proteins. This gene encodes a member of the L18E family of ribosomal proteins that is a component of the 60S subunit. As is typical for genes encoding ribosomal proteins, there are multiple processed pseudogenes of this gene dispersed through the genome. Alternatively spliced transcript variants encoding multiple isoforms have been observed for this gene. |
|
Applications: |
ELISA, IHC |
|
Name of antibody: |
RPL18 |
|
Immunogen: |
Fusion protein of human RPL18 |
|
Full name: |
ribosomal protein L18 |
|
Synonyms: |
L18 |
|
SwissProt: |
Q07020 |
|
ELISA Recommended dilution: |
5000-10000 |
|
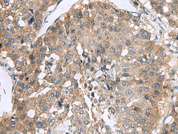
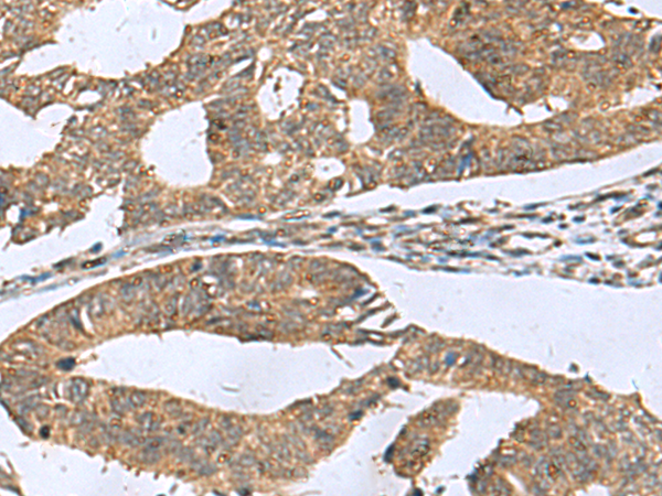
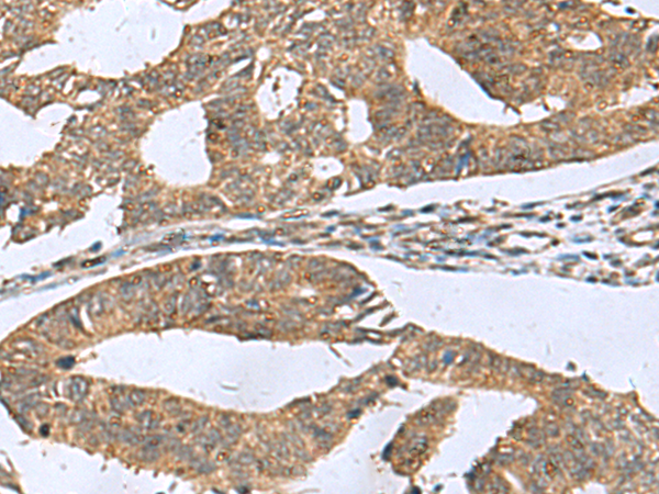
IHC positive control: |
Human liver cancer and Human colorectal cancer |
|
IHC Recommend dilution: |
50-200 |

購物車
幫助
021-54845833/15800441009
