中文名稱: 兔抗RSAD1多克隆抗體
英文名稱: Anti-RSAD1 rabbit polyclonal antibody
抗 原: RSAD1
儲 存: 冷凍(-20℃) 避光
宿 主: Rabbit
反應種屬: Human
相關類別: 一抗
標 記 物: Unconjugate
克隆類型: Unconjugate
技術規格
|
Background: |
May be involved in porphyrin cofactor biosynthesis By similarity. |
|
Applications: |
WB, IHC |
|
Name of antibody: |
RSAD1 |
|
Immunogen: |
Synthesized peptide derived from internal of human RSAD1. |
|
Full name: |
radical S-adenosyl methionine domain containing 1 |
|
Synonyms: |
0 |
|
SwissProt: |
Q9HA92 |
|
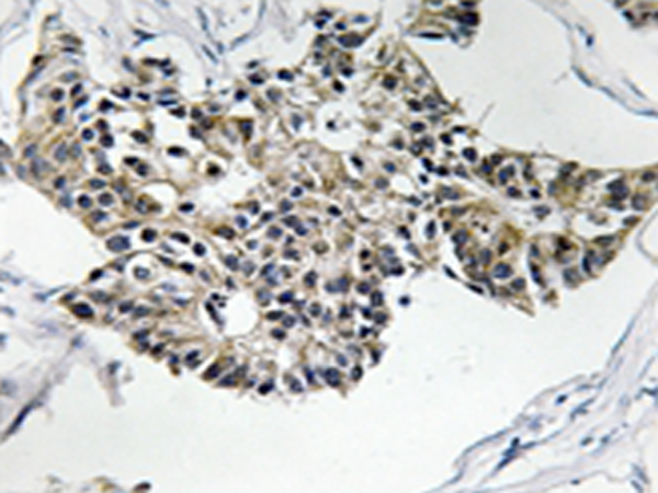
IHC positive control: |
Human breast carcinoma tissue |
|
IHC Recommend dilution: |
50-100 |
|
WB Predicted band size: |
49 kDa |
|
WB Positive control: |
Hela cells lysate |
|
WB Recommended dilution: |
500-3000 |

購物車
幫助
021-54845833/15800441009
