中文名稱: 兔抗RTKN2多克隆抗體
英文名稱: Anti-RTKN2 rabbit polyclonal antibody
別 名:rhotekin 2; PLEKHK1; bA531F24.1
相關類別: 一抗
儲 存: 冷凍(-20℃)
宿 主: Rabbit
抗 原: RTKN2
反應種屬: Human
標 記 物: Unconjugate
克隆類型: rabbit polyclonal
技術規格
|
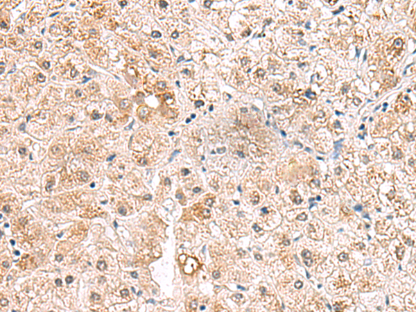
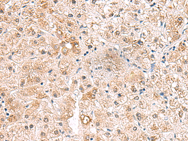
Background: |
May play an important role in lymphopoiesis. |
|
Applications: |
ELISA, IHC |
|
Name of antibody: |
RTKN2 |
|
Immunogen: |
Fusion protein of human RTKN2 |
|
Full name: |
rhotekin 2 |
|
Synonyms: |
PLEKHK1; bA531F24.1 |
|
SwissProt: |
Q8IZC4 |
|
ELISA Recommended dilution: |
5000-10000 |
|
IHC positive control: |
Human colorectal cancer and Human liver cancer |
|
IHC Recommend dilution: |
50-300 |

購物車
幫助
021-54845833/15800441009
