中文名稱:兔抗RTP4多克隆抗體
英文名稱: Anti-RTP4 rabbit polyclonal antibody
別 名: receptor transporter protein 4; IFRG28; Z3CXXC4
相關類別: 一抗
儲 存: 冷凍(-20℃)
宿 主: Rabbit
抗 原: RTP4
反應種屬: Human
標記物: Unconjugate
克隆類型: rabbit polyclonal
技術規格
|
Background: |
Probable chaperone protein which facilitates trafficking and functional cell surface expression of some G-protein coupled receptors (GPCRs). Promotes functional expression of the bitter taste receptor TAS2R16 (PubMed:16720576). Also promotes functional expression of the opioid receptor heterodimer OPRD1-OPRM1 (By similarity). |
|
Applications: |
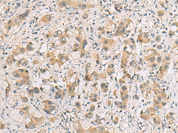
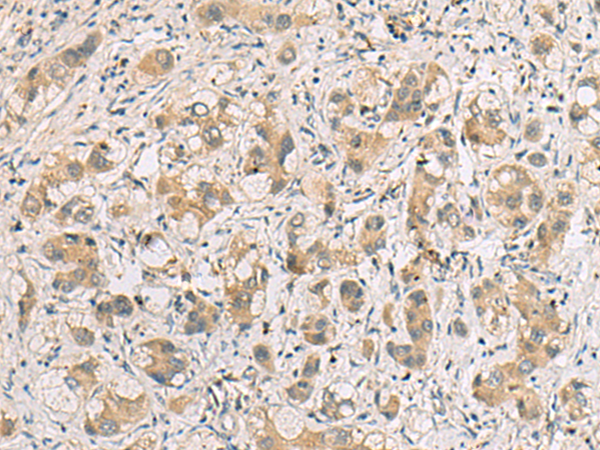
ELISA, IHC |
|
Name of antibody: |
RTP4 |
|
Immunogen: |
Fusion protein of human RTP4 |
|
Full name: |
receptor transporter protein 4 |
|
Synonyms: |
IFRG28; Z3CXXC4 |
|
SwissProt: |
Q96DX8 |
|
ELISA Recommended dilution: |
5000-10000 |
|
IHC positive control: |
Human liver cancer |
|
IHC Recommend dilution: |
50-200 |
購物車
幫助
021-54845833/15800441009
