中文名稱: 兔抗NHEJ1多克隆抗體
英文名稱: Anti-NHEJ1 rabbit polyclonal antibody
級 別: XLF
抗 原: NHEJ1
儲 存: 冷凍(-20℃)
宿 主: Rabbit
相關類別: 一抗
反應種屬: Human, Mouse, Rat
標 記 物: Unconjugate
克隆類型: rabbit polyclonal
技術規格
|
Background: |
Double-strand breaks in DNA result from genotoxic stresses and are among the most damaging of DNA lesions. This gene encodes a DNA repair factor essential for the nonhomologous end-joining pathway, which preferentially mediates repair of double-stranded breaks. Mutations in this gene cause different kinds of severe combined immunodeficiency disorders. |
|
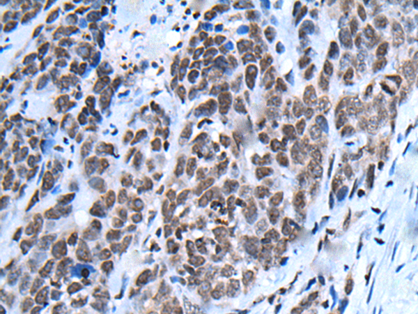
Applications: |
ELISA, WB, IHC |
|
Name of antibody: |
NHEJ1 |
|
Immunogen: |
Synthetic peptide of human NHEJ1 |
|
Full name: |
non-homologous end joining factor 1 |
|
Synonyms: |
XLF |
|
SwissProt: |
Q9H9Q4 |
|
ELISA Recommended dilution: |
5000-10000 |
|
IHC positive control: |
Human colorectal cancer and human thyroid cancer |
|
IHC Recommend dilution: |
25-100 |
|
WB Predicted band size: |
33 kDa |
|
WB Positive control: |
PC-3 cell lysate |
|
WB Recommended dilution: |
200-1000 |



購物車
幫助
021-54845833/15800441009
