中文名稱 : 兔抗NPAS4多克隆抗體
英文名稱 : Anti-NPAS4 rabbit polyclonal antibody
別 名 : NXF; Le-PAS; PASD10; bHLHe79
儲 存 : 冷凍(-20℃) 避光
抗 原 : NPAS4
宿 主 : Rabbit
反應種屬 : Human Mouse
相關類別 : 一抗
標 記 物 : Unconjugate
克隆類型 : Unconjugate
技術規格
|
Background: |
NXF is a member of the basic helix-loop-helix-PER (MIM 602260)-ARNT (MIM 126110)-SIM (see SIM2; MIM 600892) (bHLH-PAS) class of transcriptional regulators, which are involved in a wide range of physiologic and developmental events (Ooe et al., 2004 [PubMed 14701734]) |
|
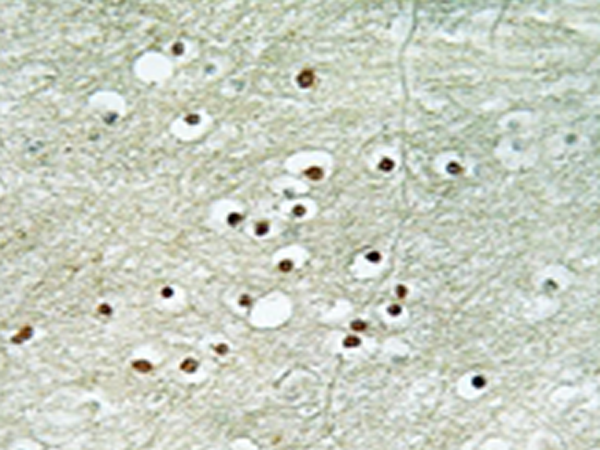
Applications: |
IHC |
|
Name of antibody: |
NPAS4 |
|
Immunogen: |
Synthesized peptide derived from internal of human NPAS4. |
|
Full name: |
neuronal PAS domain protein 4 |
|
Synonyms: |
NXF; Le-PAS; PASD10; bHLHe79 |
|
SwissProt: |
Q8IUM7 |
|
IHC positive control: |
Human brain tissue |
|
IHC Recommend dilution: |
50-100 |

購物車
幫助
021-54845833/15800441009
