中文名稱:兔抗UGT2B4多克隆抗體
技術規格
Background:
The predicted 528-amino acid UGT2B4 protein contained an N-terminal signal peptide and a C-terminal transmembrane hydrophobic region. Mammalian cells expressing UGT2B4 produced a 51-kD protein that was recognized by a UGT-specific polyclonal antibody. The expressed protein catalyzed the glucuronidation of several polyhydroxylated estrogens and xenobiotics.
Applications:
ELISA, WB, IHC
Name of antibody:
UGT2B4
Immunogen:
Fusion protein of human UGT2B4
Full name:
UDP glucuronosyltransferase family 2 member B4
Synonyms:
HLUG25; UDPGTH1; UGT2B11; UDPGT2B4; UDPGTh-1
SwissProt:
P06133
ELISA Recommended dilution:
5000-10000
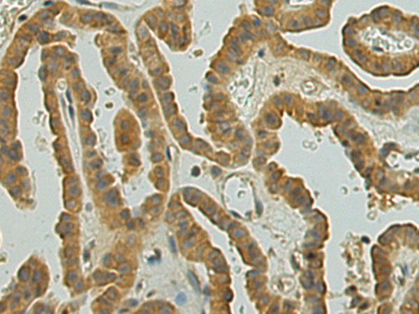
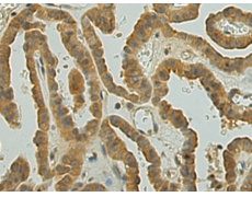
IHC positive control:
Human thyroid cancer
IHC Recommend dilution:
150-300
WB Predicted band size:
61 kDa
WB Positive control:
Mouse heart tissue lysate
WB Recommended dilution:
500-2000


購物車
幫助
021-54845833/15800441009
