中文名稱:兔抗SERP1多克隆抗體
英文名稱: Anti-SERP1 rabbit polyclonal antibody
別 名: RAMP4
抗 原: SERP1
儲 存:冷凍(-20℃)
宿 主: Rabbit
相關類別: 一抗
反應種屬: Human, Mouse, Rat
標記物: Unconjugate
克隆類型: rabbit polyclonal
技術規格
|
Background: |
This gene interacts with target proteins during their translocation into the lumen of the endoplasmic reticulum. Protects unfolded target proteins against degradation during ER stress. May facilitate glycosylation of target proteins after termination of ER stress. May modulate the use of N-glycosylation sites on target proteins. |
|
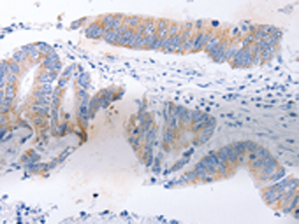
Applications: |
ELISA, IHC |
|
Name of antibody: |
SERP1 |
|
Immunogen: |
Fusion protein of human SERP1 |
|
Full name: |
stress-associated endoplasmic reticulum protein 1 |
|
Synonyms: |
RAMP4 |
|
SwissProt: |
Q9Y6X1 |
|
ELISA Recommended dilution: |
1000-5000 |
|
IHC positive control: |
Human colon cancer and human lung cancer |
|
IHC Recommend dilution: |
25-100 |

購物車
幫助
021-54845833/15800441009
