中文名稱:兔抗SGCA多克隆抗體
英文名稱: Anti-SGCA rabbit polyclonal antibody
別 名: sarcoglycan alpha; ADL; DAG2; 50DAG; DMDA2; LGMD2D; SCARMD1; adhalin
抗 原: SGCA
儲 存: 冷凍(-20℃)
宿 主: Rabbit
反應種屬: Human, Mouse
相關類別: 一抗
標記物: Unconjugate
克隆類型: rabbit polyclonal
技術規格
|
Background: |
This gene encodes a component of the dystrophin-glycoprotein complex (DGC), which is critical to the stability of muscle fiber membranes and to the linking of the actin cytoskeleton to the extracellular matrix. Its expression is thought to be restricted to striated muscle. Mutations in this gene result in type 2D autosomal recessive limb-girdle muscular dystrophy. Multiple transcript variants encoding different isoforms have been found for this gene. |
|
Applications: |
ELISA, IHC |
|
Name of antibody: |
SGCA |
|
Immunogen: |
Fusion protein of human SGCA |
|
Full name: |
sarcoglycan alpha |
|
Synonyms: |
ADL; DAG2; 50DAG; DMDA2; LGMD2D; SCARMD1; adhalin |
|
SwissProt: |
Q16586 |
|
ELISA Recommended dilution: |
5000-10000 |
|
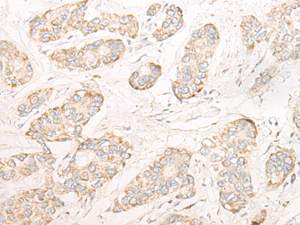
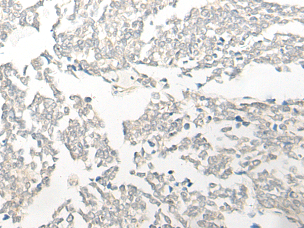
IHC positive control: |
Human liver cancer and Human lung cancer |
|
IHC Recommend dilution: |
25-100 |

購物車
幫助
021-54845833/15800441009
