中文名稱: 兔抗OXSM多克隆抗體
英文名稱: Anti-OXSM rabbit polyclonal antibody
別 名: 3-oxoacyl-ACP synthase, mitochondrial; KS; CEM1; KASI; FASN2D
相關類別: 一抗
儲 存: 冷凍(-20℃)
宿 主: Rabbit
抗 原: OXSM
反應種屬: Human, Mouse
標 記 物: Unconjugate
克隆類型: rabbit polyclonal
技術規格
|
Background: |
This gene encodes a beta-ketoacyl synthetase. The encoded enzyme is required for elongation of fatty acid chains in the mitochondria. Alternatively spliced transcript variants have been described. |
|
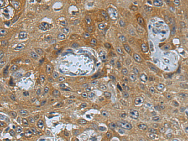
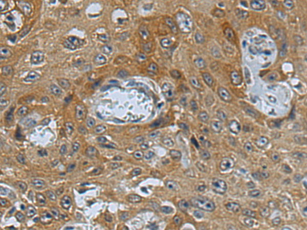
Applications: |
ELISA, WB, IHC |
|
Name of antibody: |
OXSM |
|
Immunogen: |
Fusion protein of human OXSM |
|
Full name: |
3-oxoacyl-ACP synthase, mitochondrial |
|
Synonyms: |
KS; CEM1; KASI; FASN2D |
|
SwissProt: |
Q9NWU1 |
|
ELISA Recommended dilution: |
5000-10000 |
|
IHC positive control: |
Human colorectal cancer and Human esophagus cancer |
|
IHC Recommend dilution: |
100-300 |
|
WB Predicted band size: |
49 kDa |
|
WB Positive control: |
NIH/3T3 cell lysate |
|
WB Recommended dilution: |
200-1000 |



購物車
幫助
021-54845833/15800441009
