中文名稱: 兔抗PDIA2多克隆抗體
英文名稱: Anti-PDIA2 rabbit polyclonal antibody
別 名: PDI, PDA2, PDIP, PDIR
相關類別: 一抗
儲 存: 冷凍(-20℃)
宿 主: Rabbit
抗 原: PDIA2
反應種屬: Human
標 記 物: Unconjugate
克隆類型: rabbit polyclonal
技術規格
|
Background: |
Protein disulfide isomerases (EC 5.3.4.1), such as PDIP, are endoplasmic reticulum (ER) resident proteins that catalyze protein folding and thiol-disulfide interchange reactions |
|
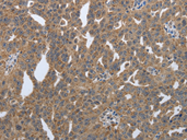
Applications: |
ELISA, IHC |
|
Name of antibody: |
PDIA2 |
|
Immunogen: |
Synthetic peptide of human PDIA2 |
|
Full name: |
Protein disulfide isomerase family A, member 2 |
|
Synonyms: |
PDI, PDA2, PDIP, PDIR |
|
SwissProt: |
Q13087 |
|
ELISA Recommended dilution: |
2000-10000 |
|
IHC positive control: |
Human ovarian cancer and Human lung cancer |
|
IHC Recommend dilution: |
50-200 |

購物車
幫助
021-54845833/15800441009
