|
Background: |
This gene encodes a platelet membrane glycoprotein of the immunoglobulin superfamily. The encoded protein is a receptor for collagen and plays a critical role in collagen-induced platelet aggregation and thrombus formation. The encoded protein forms a complex with the Fc receptor gamma-chain that initiates the platelet activation signaling cascade upon collagen binding. Mutations in this gene are a cause of platelet-type bleeding disorder-11 (BDPLT11). Alternatively spliced transcript variants encoding multiple isoforms have been observed for this gene. |
|
Applications: |
ELISA, WB, IHC |
|
Name of antibody: |
GP6 |
|
Immunogen: |
Synthetic peptide of human GP6 |
|
Full name: |
glycoprotein VI platelet |
|
Synonyms: |
GPIV; GPVI; BDPLT11 |
|
SwissProt: |
Q9HCN6 |
|
ELISA Recommended dilution: |
5000-10000 |
|
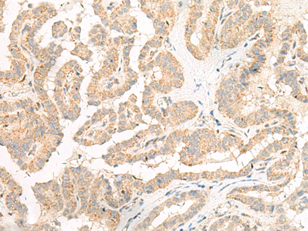
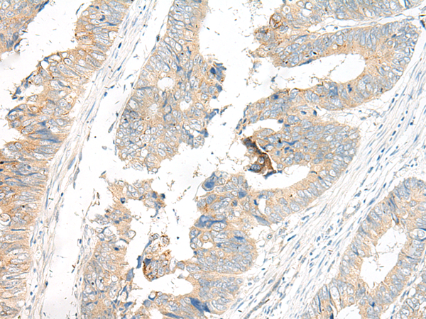
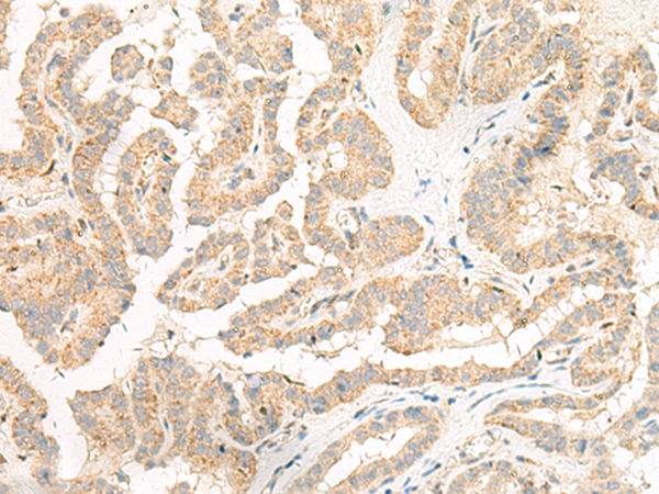
IHC positive control: |
Human colorectal cancer and Human thyroid cancer |
|
IHC Recommend dilution: |
50-300 |
|
WB Predicted band size: |
37 kDa |
|
WB Positive control: |
K562,Jurkat and 293T cell lysates |
|
WB Recommended dilution: |
200-1000 |


購物車
幫助
021-54845833/15800441009
