中文名稱: 兔抗PPEF1多克隆抗體
英文名稱: Anti-PPEF1 rabbit polyclonal antibody
別 名: protein phosphatase with EF-hand domain 1; PP7; PPEF; PPP7C; PPP7CA
相關類別: 一抗
儲 存: 冷凍(-20℃)
宿 主: Rabbit
抗 原: PPEF1
反應種屬: Human
標 記 物: Unconjugate
克隆類型: rabbit polyclonal
技術規格
|
Background: |
This gene encodes a member of the serine/threonine protein phosphatase with EF-hand motif family. The protein contains a protein phosphatase catalytic domain, and at least two EF-hand calcium-binding motifs in its C terminus. Although its substrate(s) is unknown, the encoded protein has been suggested to play a role in specific sensory neuron function and/or development. This gene shares high sequence similarity with the Drosophila retinal degeneration C (rdgC) gene. Several alternatively spliced transcript variants, each encoding a distinct isoform, have been described. |
|
Applications: |
ELISA, WB, IHC |
|
Name of antibody: |
PPEF1 |
|
Immunogen: |
Fusion protein of human PPEF1 |
|
Full name: |
protein phosphatase with EF-hand domain 1 |
|
Synonyms: |
PP7; PPEF; PPP7C; PPP7CA |
|
SwissProt: |
O14829 |
|
ELISA Recommended dilution: |
5000-10000 |
|
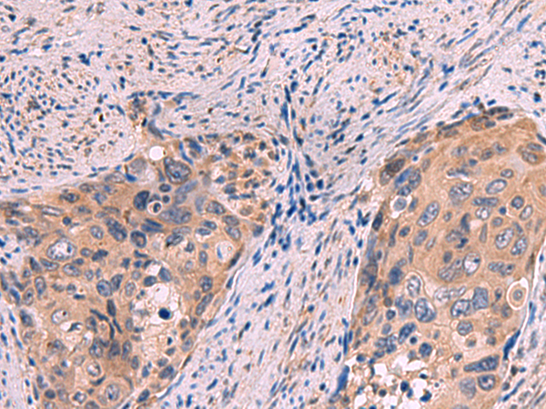
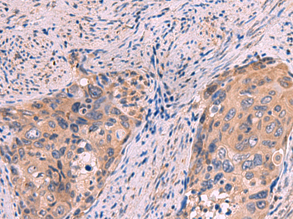
IHC positive control: |
Human cervical cancer |
|
IHC Recommend dilution: |
80-400 |
|
WB Predicted band size: |
76 kDa |
|
WB Positive control: |
Human fetal brain tissue lysate |
|
WB Recommended dilution: |
1000-5000 |


購物車
幫助
021-54845833/15800441009
