中文名稱: 兔抗PTGS1多克隆抗體
英文名稱: Anti-PTGS1 rabbit polyclonal antibody
別 名: COX1, COX3, PHS1, PCOX1, PES-1, PGHS1, PTGHS, PGG/HS, PGHS-1
相關類別: 一抗
抗 原: PTGS1
儲 存: 冷凍(-20℃)
宿 主: Rabbit
反應種屬: Human
標 記 物: Unconjugate
克隆類型: rabbit polyclonal
技術規格
|
Background: |
Cyclooxygenase-1 (COX-1), also known as prostaglandin G/H synthase 1, prostaglandin-endoperoxide synthase 1 or prostaglandin H2 synthase 1, is an enzyme that in humans is encoded by the PTGS1 gene. This is one of two genes encoding similar enzymes that catalyze the conversion of arachinodate to prostaglandin. The encoded protein regulates angiogenesis in endothelial cells, and is inhibited by nonsteroidal anti-inflammatory drugs such as aspirin. The protein may promote cell proliferation during tumor progression. Alternative splicing results in multiple transcript variants. |
|
Applications: |
ELISA, IHC |
|
Name of antibody: |
PTGS1 |
|
Immunogen: |
Synthetic peptide of human PTGS1 |
|
Full name: |
prostaglandin-endoperoxide synthase 1 (prostaglandin G/H synthase and cyclooxygenase) |
|
Synonyms: |
COX1, COX3, PHS1, PCOX1, PES-1, PGHS1, PTGHS, PGG/HS, PGHS-1 |
|
SwissProt: |
P23219 |
|
ELISA Recommended dilution: |
1000-10000 |
|
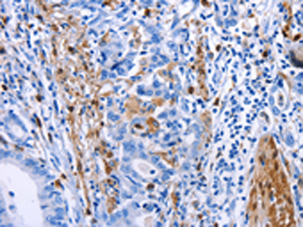
IHC positive control: |
Human stomach cancer |
|
IHC Recommend dilution: |
20-100 |

購物車
幫助
021-54845833/15800441009
