中文名稱: 兔抗TRIB3多克隆抗體
英文名稱: Anti-TRIB3 rabbit polyclonal antibody
別 名: NIPK; SINK; TRB3; SKIP3; C20orf97
相關類別: 一抗
儲 存: 冷凍(-20℃)
宿 主: Rabbit
抗 原: TRIB3
反應種屬: Human
標 記 物: Unconjugate
克隆類型: rabbit polyclonal
技術規格
|
Background: |
The protein encoded by this gene is a putative protein kinase that is induced by the transcription factor NF-kappaB. The encoded protein is a negative regulator of NF-kappaB and can also sensitize cells to TNF- and TRAIL-induced apoptosis. In addition, this protein can negatively regulate the cell survival serine-threonine kinase AKT1. Differential promoter usage and alternate splicing result in multiple transcript variants. |
|
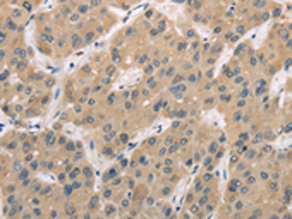
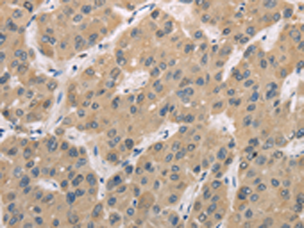
Applications: |
ELISA, IHC |
|
Name of antibody: |
TRIB3 |
|
Immunogen: |
Full length fusion protein |
|
Full name: |
tribbles pseudokinase 3 |
|
Synonyms: |
NIPK; SINK; TRB3; SKIP3; C20orf97 |
|
SwissProt: |
Q96RU7 |
|
ELISA Recommended dilution: |
2000-5000 |
|
IHC positive control: |
Human liver cancer and human prostate cancer |
|
IHC Recommend dilution: |
25-100 |

購物車
幫助
021-54845833/15800441009
