中文名稱: 兔抗TRIM34多克隆抗體
英文名稱: Anti-TRIM34 rabbit polyclonal antibody
別 名: IFP1; RNF21
相關類別: 一抗
儲 存: 冷凍(-20℃)
宿 主: Rabbit
抗 原: TRIM34
反應種屬: Human
標 記 物: Unconjugate
克隆類型: rabbit polyclonal
技術規格
|
Background: |
The protein encoded by this gene is a member of the tripartite motif (TRIM) family. The TRIM motif includes three zinc-binding domains, a RING, B-box type 1 and B-box type 2 domain, and a coiled-coil region. Expression of this gene is up-regulated by interferon. This gene is mapped to chromosome 11p15, where it resides within a TRIM gene cluster. Alternative splicing results in multiple transcript variants. A read-through transcript from the upstream TRIM6 gene has also been observed, which results in a fusion product from these neighboring family members. |
|
Applications: |
ELISA, WB, IHC |
|
Name of antibody: |
TRIM34 |
|
Immunogen: |
Synthetic peptide of human TRIM34 |
|
Full name: |
tripartite motif containing 34 |
|
Synonyms: |
IFP1; RNF21 |
|
SwissProt: |
Q9BYJ4 |
|
ELISA Recommended dilution: |
1000-2000 |
|
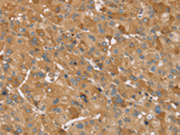
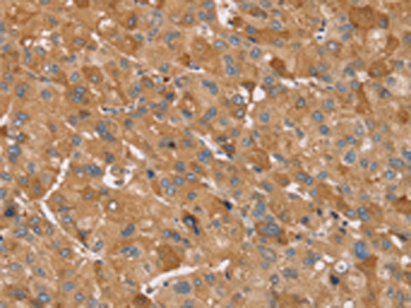
IHC positive control: |
Human liver cancer and Human brain |
|
IHC Recommend dilution: |
25-100 |
|
WB Predicted band size: |
57 kDa |
|
WB Positive control: |
Jurkat cells |
|
WB Recommended dilution: |
200-1000 |


購物車
幫助
021-54845833/15800441009
