|
Background: |
This gene encodes a member of the sorting nexin family. Members of this family contain a phox (PX) domain, which is a phosphoinositide binding domain, and are involved in intracellular trafficking. This protein associated with the long isoform of the leptin receptor and with receptor tyrosine kinases for platelet-derived growth factor, insulin, and epidermal growth factor in cell cultures, but its function is unknown. This protein may form oligomeric complexes with family members. Two transcript variants, one protein coding and the other non-protein coding, have been found for this gene. |
|
Applications: |
ELISA, IHC |
|
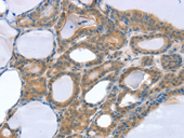
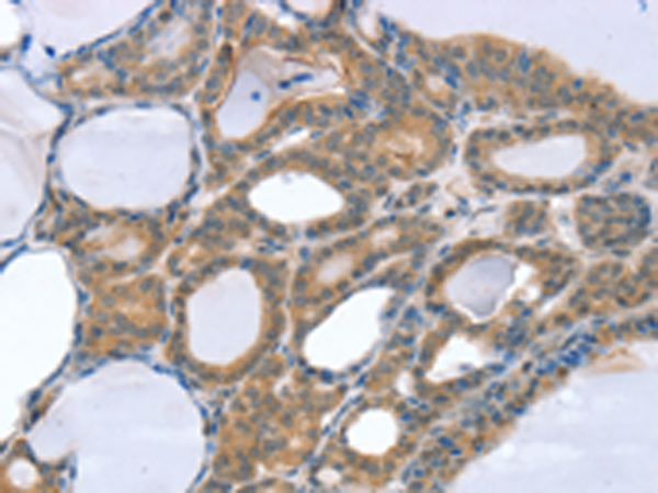
Name of antibody: |
SNX4 |
|
Immunogen: |
Fusion protein of human SNX4 |
|
Full name: |
sorting nexin 4 |
|
Synonyms: |
ATG24B |
|
SwissProt: |
O95219 |
|
ELISA Recommended dilution: |
2000-5000 |
|
IHC positive control: |
Human thyroid cancer |
|
IHC Recommend dilution: |
25-100 |
購物車
幫助
021-54845833/15800441009
