|
Background: |
This gene encodes a member of the serine/threonine kinase family of enzymes. This family member is similar to a Drosophila protein that plays a key role in the Hedgehog signaling pathway. This human protein is a positive regulator of the GLI zinc-finger transcription factors. Knockout studies of the homologous mouse gene suggest that defects in this human gene may lead to congenital hydrocephalus, possibly due to a functional defect in motile cilia. |
|
Applications: |
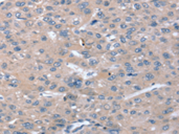
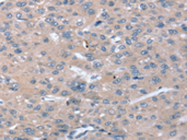
ELISA, IHC |
|
Name of antibody: |
STK36 |
|
Immunogen: |
Synthetic peptide of human STK36 |
|
Full name: |
serine/threonine kinase 36 |
|
Synonyms: |
FU |
|
SwissProt: |
Q9NRP7 |
|
ELISA Recommended dilution: |
1000-2000 |
|
IHC positive control: |
Human liver cancer and Human breast cancer |
|
IHC Recommend dilution: |
10-50 |
購物車
幫助
021-54845833/15800441009
