|
Background: |
This gene encodes a member of the transcription elongation factor A (SII)-like (TCEAL) gene family. Members of this family contain TFA domains and may function as nuclear phosphoproteins that modulate transcription in a promoter context-dependent manner. Multiple family members are located on the X chromosome. Alternative splicing results in multiple transcript variants encoding a single isoform. |
|
Applications: |
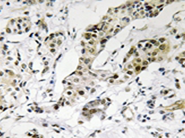
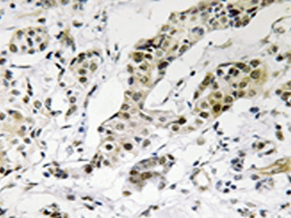
IHC |
|
Name of antibody: |
TCEAL3 |
|
Immunogen: |
Synthesized peptide derived from internal of human TCEAL3/5/6. |
|
Full name: |
transcription elongation factor A (SII)-like 3 |
|
Synonyms: |
WEX8 |
|
SwissProt: |
Q969E4/Q5H9L2/Q6IPX3 |
|
IHC positive control: |
Human breast carcinoma tissue |
|
IHC Recommend dilution: |
50-100 |
購物車
幫助
021-54845833/15800441009
