中文名稱: 兔抗APOD多克隆抗體
|
Background: |
This gene encodes a component of high density lipoprotein that has no marked similarity to other apolipoprotein sequences. It has a high degree of homology to plasma retinol-binding protein and other members of the alpha 2 microglobulin protein superfamily of carrier proteins, also known as lipocalins. This glycoprotein is closely associated with the enzyme lecithin:cholesterol acyltransferase - an enzyme involved in lipoprotein metabolism. |
|
Applications: |
ELISA, WB, IHC |
|
Name of antibody: |
APOD |
|
Immunogen: |
Synthetic peptide of human APOD |
|
Full name: |
apolipoprotein D |
|
SwissProt: |
P05090 |
|
ELISA Recommended dilution: |
5000-10000 |
|
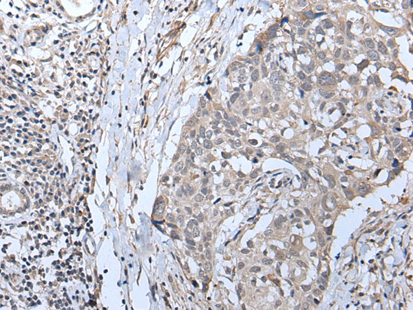
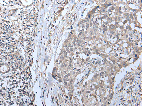
IHC positive control: |
Human brain and human lung cancer |
|
IHC Recommend dilution: |
20-100 |
|
WB Predicted band size: |
21 kDa |
|
WB Positive control: |
Human liver tissue lysate |
|
WB Recommended dilution: |
200-1000 |
購物車
幫助
021-54845833/15800441009
