中文名稱: 兔抗AQP7多克隆抗體
|
Background: |
Aquaporins/major intrinsic protein (MIP) are a family of water-selective membrane channels. Aquaporin 7 has greater sequence similarity with AQP3 and AQP9 and they may be a subfamily. Aquaporin 7 and AQP3 are at the same chromosomal location suggesting that 9p13 may be a site of an aquaporin cluster. Aquaporin 7 facilitates water, glycerol and urea transport. It may play an important role in sperm function. |
|
Applications: |
ELISA, IHC |
|
Name of antibody: |
AQP7 |
|
Immunogen: |
Synthetic peptide of human AQP7 |
|
Full name: |
aquaporin 7 |
|
Synonyms: |
AQP9; AQP7L; AQPap; GLYCQTL |
|
SwissProt: |
O14520 |
|
ELISA Recommended dilution: |
2000-10000 |
|
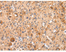
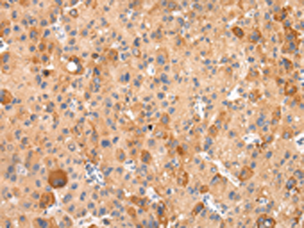
IHC positive control: |
Human liver cancer and Human thyroid cancer |
|
IHC Recommend dilution: |
30-150 |
購物車
幫助
021-54845833/15800441009
