|
Background: |
Vesicle mediated protein sorting plays an important role in segregation of intracellular molecules into distinct organelles. Genetic studies in yeast have identified more than 40 vacuolar protein sorting (VPS) genes involved in vesicle transport to vacuoles. This gene is a member of the Sec1 domain family, and shows a high degree of sequence similarity to mouse, rat and yeast Vps45. The exact function of this gene is not known, but its high expression in peripheral blood mononuclear cells suggests a role in trafficking proteins, including inflammatory mediators. Multiple alternatively spliced transcript variants have been found for this gene. |
|
Applications: |
ELISA, IHC |
|
Name of antibody: |
VPS45 |
|
Immunogen: |
Fusion protein of human VPS45 |
|
Full name: |
vacuolar protein sorting 45 homolog |
|
Synonyms: |
H1; SCN5; VSP45; VPS45A; VPS45B; VPS54A; VSP45A; H1VPS45 |
|
SwissProt: |
Q9NRW7 |
|
ELISA Recommended dilution: |
2000-10000 |
|
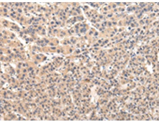
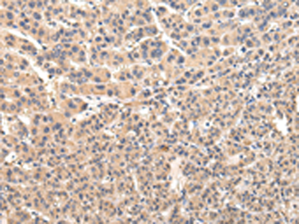
IHC positive control: |
Human liver cancer |
|
IHC Recommend dilution: |
30-150 |
購物車
幫助
021-54845833/15800441009
